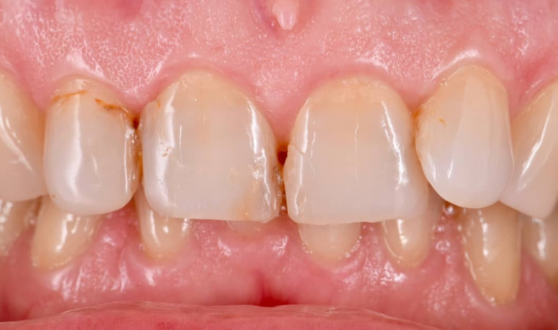
Paciente agendou uma consulta na CDMI porque não gostava do seu sorriso. Através da colocação de 3 facetas obtivemos um resultado estético e natural
AntesDepois
Paciente agendou uma consulta na CDMI porque não gostava do seu sorriso. Através da colocação de 3 facetas obtivemos um resultado estético e natural
Explore outros tratamentos e resultados e veja como a nossa experiência conseguiu fazer a diferença na vida dos nossos pacientes
Cuide da sua saúde com a nossa equipa de especialistas.
Agende hoje a sua consulta de forma rápida e simples.
Cuide da sua saúde com a nossa equipa de especialistas.
Agende hoje a sua consulta de forma rápida e simples.