O planeamento de um sorriso deve passar por uma análise global do paciente.
A estética branca (dentes) é fundamental, mas a estética rosa (gengiva) desempenha um papel primordial na reabilitação da estética e função de um sorriso.
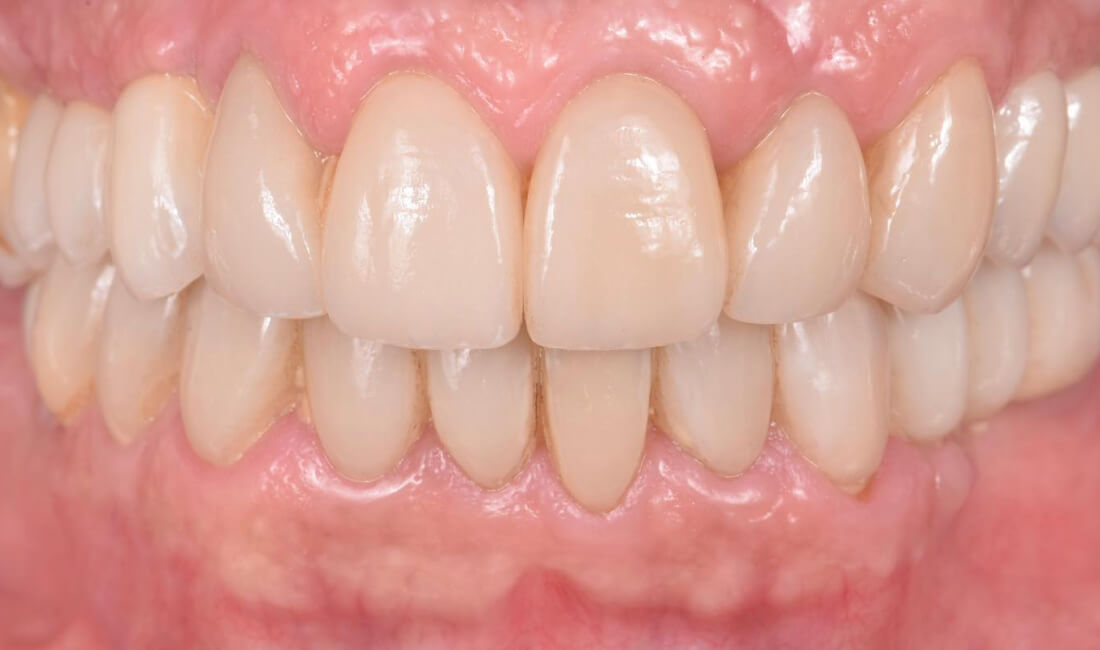
Foto de try-in de facetas e foto inicial do tratamento.





